
Exclusive Odontologia e Harmonização - Dra. Shirley Gurgel
Informações de Contato
Endereço
SHN Q. 2 Bloco F - Asa Norte, Brasília - DF, 70702-906 - Ed. Executive Office Tower - Sala 920 - Asa Norte, Brasília - DF, 70702-906, Brasil - Asa Norte, Brasília - DF
Telefone
(61) 99666-3404Site
Disponível para perfis premium
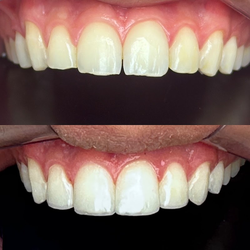
Qual procedimento você procura?
Selecione e veja dentistas disponíveis.
Avaliações do Google4.9 (101)
“Dra. Shirley é uma profissional maravilhosa, detalhista, completa, que oferece vários tipos de serviço e atende muitíssimo bem, por isso desde que comecei a fazer atendimento com ela, em 2016, nunca deixei de frequentar o seu consultório. Estes dias estive no novo endereço de atendimento dela e fiquei impressionada: o espaço tem ótima estrutura; uma atendente maravilhosa, a Giovana; e, de quebra, um capuccino caseiro incrivelmente delicioso, feito pela própria Dra. e que serve de cartão de visita pros pacientes gostarem ainda mais do lugar. Dra. Shirley tá mais do que recomendada! ”
Ótimo atendimento! Shirley demonstra domínio técnico, organização e cuidado com o paciente. Fiquei muito satisfeito com o serviço prestado.
Ótima, Dra Shirley conseguiu algo que a anos nenhum dentista conseguia comigo, perdi o trauma de sentar em um consultório e fazer com tranquilidade o tratamento necessário. Equipe simpática, sempre pronta a atender com alegria e simpatia 10 de 10 para Dra. ShirleyVer mais ▾
Estar com a Dra Shirley já se torna uma elegância para os cuidados com a saúde bucal e até a estética facial necessária para uma auto estima de risos e felicidade. Já amo Dra Shirley! Gratidão pela oportunidade de falar dessa pessoa tão leve e querida.Ver mais ▾
Dra. Shirley não oferece consultas, ela nos dá uma experiência!!!😍😍😍. Meu Deus! Que excelência, que generosidade! Além de ser o próprio marketing, pq é linda demais! Da recepção ao tratamento que inclui massagem, Dez de Dez!!👏🏾👏🏾👏🏾👏🏾👏🏾Ver mais ▾
Baseado em 101 avaliações do Google
Procedimentos em Brasília
Compare preços e especialistas em Brasília